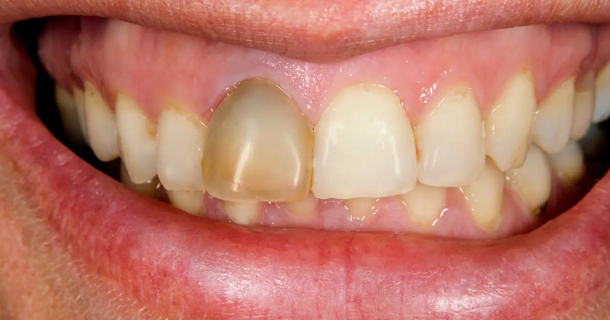
باستخدام ربط الأسنان ، يمكن إصلاح الأسنان المتشققة وحمايتها من التلف في المستقبل. يمكن إصلاح الأسنان المكسورة أو المكسورة أو التالفة باستخدام ربط الأسنان ، وهي جراحة تجميلية لطب الأسنان. بالإضافة إلى أنه يساعد على سد الفجوات بين الأسنان وإطالة الأسنان التي تكون أقصر من غيرها. ومع ذلك ، فإن تقطيع الانبعاج أسهل مما تعتقد ولا ينطوي على حادث في كرة T أو لكمة في الوجه.
يمكن أن ينكسر السن على زجاجة زجاجية أو مكعب ثلج أو نافورة ماء أو حتى أثناء الولادة. إذا كنت تعاني من تسوس الأسنان ، أو صرير الأسنان ، أو ارتفاع مستويات الأحماض التي تؤدي إلى تآكل مينا الأسنان ، فإن تقطيع الأسنان يكون أسهل.
ما هو ربط الأسنان؟

ربط الأسنان هو إجراء تجميلي يستخدم الراتنج المركب بلون الأسنان. يمكن لطبيب الأسنان الخاص بك تشكيل هذا الراتينج بعناية بالحجم والشكل المناسبين لملء المنطقة بين القواطع الأمامية.
يمكن إجراء العملية من قبل طبيب الأسنان في موعد واحد وهي بسيطة نسبيًا. سيختار طبيب أسنانك أولاً لون ترابط الأسنان الذي يتطابق تمامًا مع ظل أسنانك. سيكون سطح أسنانك الأمامية جاهزًا بعد ذلك لتطبيق مادة الترابط. بالإضافة إلى ذلك ، سيقوم طبيب أسنانك الآن بإعطاء سائل ملين لتسهيل الترابط بعد كشط سطح أسنانك بلطف.
يكون الإجراء أكثر فاعلية على الأسنان السليمة التي تعرضت لضغط أو تلف خفيف. قبل الحصول على الرابط الخاص بك ، يجب أيضًا أن تكون راضيًا عن ظل أسنانك. إذا كنت ترغب دائمًا في تبييض أسنانك قبل الارتباط ، فناقش الخيار مع طبيب أسنانك.
كيف يتم ربط الأسنان؟

إذا كانت هناك حاجة أيضًا إلى حشو أو إذا أراد طبيب الأسنان تغيير شكل السن بشكل كبير ، فإن ربط الأسنان هو أسلوب داخلي وخارجي لا يتضمن حتى التخدير. إذا تعرض السن للكسر بالقرب من العصب ، فقد تحتاج أيضًا إلى التخدير ، لأن عملية الإصلاح غير السارة قد تؤثر على العصب.
الخطوة الأولى هي اختيار الظل المركب المصنوع من الراتنج الذي يطابق سنك قدر الإمكان. للتأكد من أن قراره حكيم ، سيقوم طبيب أسنانك باستشارة أحد الملفات.
يكون للمركب والسائل وقت أسهل في الالتصاق بالسطح الخشن. ثم يتم وضع الراتينج المركب على المنطقة المتضررة ، حيث يقوم طبيب الأسنان بصنعها لإصلاح الضرر.
كم تكلفة ربط الأسنان ؟

اعتمادًا على عدد الأسنان التي تقرر ربطها ، ستختلف التكلفة بشكل كبير. يمكن أن تكلف عملية ربط الأسنان بين 300 دولار و 600 دولار لكل سن. إذا كنت بحاجة إلى ربط الأسنان لعلاج تسوس الأسنان أو مشكلة هيكلية ، فقد يغطي تأمين الأسنان الخاص بك التكلفة ، مما يوفر عليك نفقاتك الشخصية. قبل العملية ، يجب عليك الاستفسار أكثر مع مزود الخدمة الخاص بك.
يعتبر ربط الأسنان الطريقة الأقل تكلفة لتصحيح الأسنان مقارنةً بالفينير والتيجان. من ناحية أخرى ، يمكن أن تصل تكلفة القشرة أو التاج إلى 3000 دولار لكل سن. ومع ذلك ، بناءً على موقعك ومستوى مهارة طبيب الأسنان وطول العملية ، قد يكلفك ربط الأسنان أكثر.
ربط الأسنان هو تطبيق الراتنج المركب بلون الأسنان على أسنانك. سيقوم طبيب الأسنان بذلك لتحسين مظهر أسنانك. باستخدام الترابط ، يمكن تغطية السن. يمكنه استعادة صحة السن أو الجذر المكسور بالإضافة إلى تغيير شكل ومظهر السن. ربط الأسنان هي جراحة تجميلية غير مكلفة يمكن إجراؤها في زيارة واحدة لطبيب الأسنان. اتصل بنا في عيادتنا إذا كنت تريد معرفة المزيد عن الترابط السني.
أقرا أيضا على موقعنا : خلع الاسنان بالتخدير العام
