تعد أنواع الفينير خيارًا رائعًا إذا كنت ترغب في تغيير مظهر ابتسامتك بسرعة وبتكلفة معقولة. تعد زراعة الأسنان والتيجان وحتى تقويم الأسنان أمثلة على إجراءات طب الأسنان التجميلية المتطفلة والمكلفة. بالمقارنة مع هذه الإجراءات ، تكون القشرة أقل تطفلاً وغالبًا ما تكون ميسورة التكلفة. بالإضافة إلى ذلك ، نظرًا لأنها أقل صعوبة من بعض البدائل ، تعد الأنواع المختلفة من القشرة من بين أسهل الطرق للحصول على ابتسامة جديدة.
يطلب الكثير من الناس المساعدة لأنهم يريدون الحصول على “ابتسامات قشرة الخشب”. تكلفة تقويم الأسنان وتبييض الأسنان والحشوات التجميلية مرتفعة. يمكن تحقيق معظم (وليس كل) المظهر من خلال أنواع الوجوه. لا يتم تبييض الأسنان الطبيعية وأحيانًا لا تصطف بشكل صحيح. إذا رأيت الأمر بهذه الطريقة ، فسيكون مثل وضع تاج على نصف أسنانك. قد تحتاج السن التي يتم قشرها إلى تعديل طفيف أو لا تحتاج إلى تعديل على الإطلاق ، حسب الظروف المختلفة. ينتج عن هذا حساسية أقل مقارنة بالتيجان الكاملة ، وفي أفضل سيناريو ، لا داعي للتخدير.
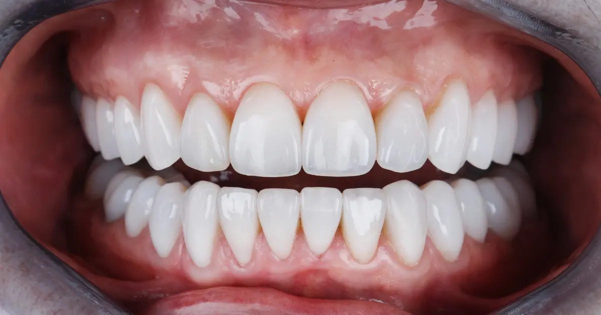
أنواع الأوجه

أنواع الأدوية هي أحد مكونات طب الأسنان التجميلي وهي متوفرة في مجموعة واسعة من الدرجات والمواد. تعمل بشكل جيد في علاج الكسور الصغيرة والأسنان الملتوية والأسنان التي تغير لونها أو تلطخها. كثيرًا ما تستخدم أنواع الأدوية في طب الأسنان التجميلي لتصميم الابتسامات. يمكن لأطباء الأسنان استخدام أنواع مختلفة من الفينير للأسنان ذات التركيبات والألوان المختلفة.
أنواع القشرة الإضافية هي نوع آخر من القشرة القابلة للإزالة المتاحة. يمكنك جعلها مصنوعة حسب الطلب أو مسبقة الصنع. على الرغم من أن هذا قد يكون احتمالًا للبعض ، إلا أننا نوصي باستخدام قشرة دائمة لإطلالة أكثر متانة وطبيعية.
بالنظر إلى جميع العوامل المعنية ، يمكن أن يكون الحصول على قشور الأسنان أمرًا صعبًا. قشور القشرة عادة ما تكون من البورسلين. ومع ذلك ، هناك عدد قليل من أنواع القشرة المميزة للاختيار من بينها ، بما في ذلك:
- القشرة المركبة
- اغشية الخزف
القشرة المركبة
يتم إنشاء القشرة المركبة باستخدام الراتينج المركب ، وهو مركب مكون من مكونات عضوية وغير عضوية. من أمثلة المواد الطبيعية عامل التوصيل والراتنج والبادئ. المكون العضوي الرئيسي للراتنج المركب هو الحشو. يتم تصنيع قشور الراتينج المركب باستخدام نفس مادة الترابط المستخدمة في صنع حشوات الأسنان بلون الأسنان.
على الرغم من قوتها ، إلا أن القشرة المركبة لا تدوم طويلاً مثل البورسلين. القشرة المركبة أقل تكلفة من تلك المصنوعة من البورسلين. تمتزج جيدًا مع لون أسنانك الطبيعية ، على الرغم من أنها عرضة للتلطيخ بمرور الوقت. يمكن أن تستمر أيضًا من خمس إلى سبع سنوات. تعتبر هذه القشرة حلاً طويل الأمد وقد يتطلب الأمر بعض الأعمال التحضيرية على الأسنان.
قشرة البورسلين (سيراميك)
البورسلين هو المادة الأكثر جمالاً والأكثر أماناً لإصلاح الأسنان. إنها أقوى وأصعب مادة قشرة متاحة. نظرًا لأن قشور البورسلين متوافقة حيوياً للغاية ، نادرًا ما تتضرر الأنسجة الرخوة المحيطة باللثة وأنسجة الفم الأخرى بها. لأن قشور البورسلين تعتبر حلاً دائمًا ، يلزم حلق بعض الأسنان قبل وضعها. يتم استخدام نفس المادة لإنشاء كل من القشرة المركبة والربط المركب. يغطي اللاصق جزءًا فقط من سنك ، لكن القشرة تغلفه تمامًا. هذا هو الفرق الرئيسي بين الترميمين.
ما هي أفضل أنواع الفينير؟

يمكن أن تعيد أنواع الفينير ابتسامتك وثقتك بنفسك إذا كان لديك أسنان ملتوية أو تالفة أو متكسرة. استعاد العديد من المرضى الذين عملنا معهم احترامهم لذاتهم في حياتهم الشخصية والمهنية. من بين جميع المواد المستخدمة ، تتمتع قشور البورسلين E-Max بمظهر أكثر واقعية. هذه توفر لمرضانا ابتسامة تبدو طبيعية لأنها مصنوعة من جزيئات صغيرة من ثنائي سيليكات الليثيوم. لسوء الحظ ، هناك مجموعات قليلة فقط من أطباء الأسنان التجميليين على دراية بالاختلافات في المواد المستخدمة في صناعة قشرة البورسلين.
كم تكلفة قشرة الأسنان في تركيا؟

يتم تحديد أنواع الفينير في تركيا من خلال عدد من العوامل ، بما في ذلك على سبيل المثال لا الحصر: سواء كنت بحاجة إلى الكثير من الخبرة والموارد ، مثل الكثير من الأدوات والخبرة ، فإن تكلفة وضع القشرة على أسنانك ستكون أعلى.
هذه هي الطريقة التي يمكنك من خلالها تحديد تكلفة القشرة ، حيث سيؤثر الحجم الذي تحتاجه على سعرها. ستزداد تكلفة الإنجاز مع زيادة كمية المواد. تكلف قشرة الأسنان الخزفية أكثر من قشرة الراتنج لأنها مصنوعة من البورسلين.
يمكن أن تتقلب الأسعار من عيادة أسنان إلى عيادة أسنان وحتى من ولاية إلى أخرى حسب المكان الذي تعيش فيه. لذلك يمكن أن يختلف سعر أنواع القشرة حسب المكان الذي تعيش فيه. في حالات نادرة ، قد يرغب طبيب الأسنان في العودة لفحص القشرة بعد تركيبها. خلال ذلك ، سوف يتأكدون من تقييم ما إذا كانت القشرة لا تزال في مكانها ومريحة لمرتديها.
أقرا أيضا على موقعنا : خلع الاسنان بالتخدير العام
