Types of Veneers

Types of veneers are a component of aesthetic dentistry. Also available in a wide range of qualities and materials. They work well for treating small fractures, crooked teeth. Even discolored or stained teeth. Types of veneers are often used in cosmetic dentistry for designing smiles. Different veneer varieties can be use for teeth with various structures and colors.
-
Composite veneers
-
Porcelain veneers
Composite Veneer
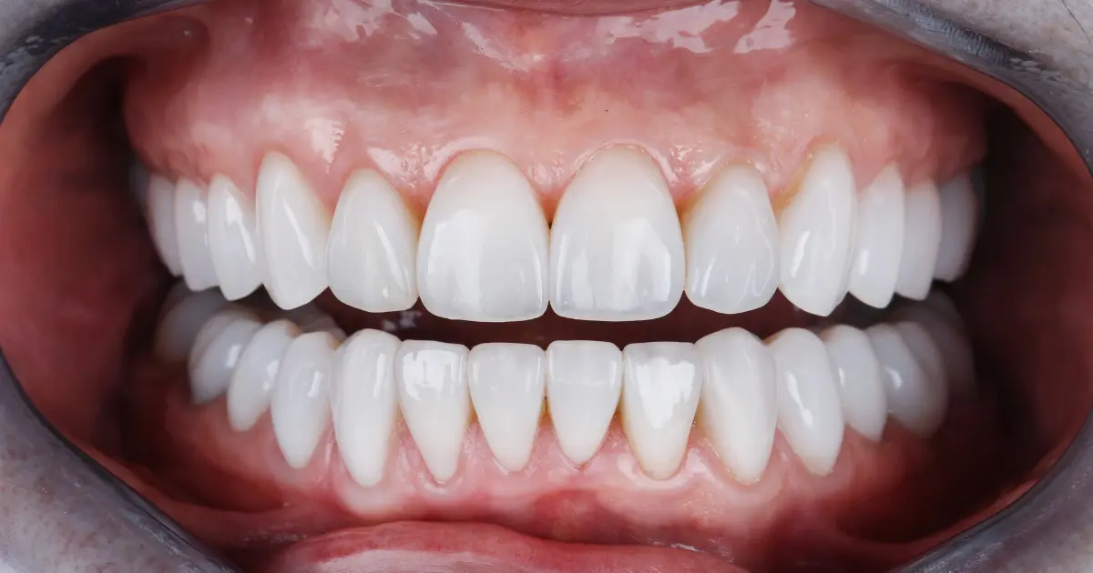
Porcelain (Ceramic) Veneer
Porcelain is the most visual beautiful and secure substance for dental repairs. It is the strongest and most resilient veneer material available. Because porcelain laminate veneers high biocompatible. the soft tissues that surround the gums and other oral tissues are seldom harmed by them. Because porcelain veneers are a permanent solution. Some tooth shaving is necessary before placing them. The same material uses to create both composite veneers and composite bonding. A bond only covers part of your tooth, but a veneer totally encases it. This is the key difference between the two restorations.
What Types of Veneers Are Best?

Veneers can restore your smile if you have teeth deformed, damaged, or chipped. Many patients recover their self-esteem in both their personal and professional life. Of all the materials utilized, E-Max Porcelain Veneers have the most realistic appearance. These offer our patients a natural grin since they make of tiny lithium molecules. Unfortunately, only a few groups of cosmetic dentists are knowledgeable about that. The variations in materials used to make porcelain veneers are kind of secret topic for some.
How Much Are Veneers in Turkey?


Comments are closed