Oral health often takes a backseat in our busy daily lives. Yet our mouth and teeth can tell us a lot about our overall health. Even a small sign can be a warning from the body. Sores on the gums are one of those signals. Many people see them as temporary issues, but sometimes these small irritations in the mouth can indicate deeper underlying causes.
Most people notice a gum sore for the first time while brushing their teeth. You might feel sudden sensitivity in one area or see a small red or white spot when looking in the mirror. Sometimes, eating can make you notice a slight discomfort in that spot. Sensitivity often becomes more noticeable when consuming hot, cold, or spicy foods. Even talking, smiling, or simply moving your mouth can make that little sore feel more prominent.
Although gum sores may look small, they can impact daily life more than expected. Pain while eating may force you to avoid certain foods. Brushing your teeth can even become uncomfortable. Ignoring these sores can affect oral hygiene and lead to other problems. Therefore, it’s important to understand why gum sores appear rather than completely dismissing them.
There are many reasons why these sores appear. Chewing hard foods, improper brushing habits, irritating foods, or stress can all contribute. Weak immunity, vitamin deficiencies, or other oral health issues may also be responsible. So, what often looks like a simple irritation can sometimes be closely related to your overall health.

What is a Gum Sore?
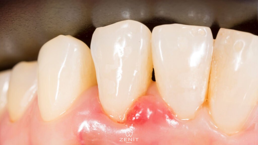
A gum sore is a small irritation, sensitive spot, or open wound on the gums. Sometimes, you might notice a tiny white spot in the mirror or feel redness, swelling, or tenderness when touching the area. Although often small and temporary, these sores can affect daily life more than you might expect.
Some gum sores are barely noticeable. But while eating, brushing, or consuming hot or cold foods, you may feel a mild discomfort. Spicy or hard foods can make this sensitivity more pronounced. Occasionally, the sore becomes more visible as a red, slightly swollen area on the gum.
Most gum sores heal on their own quickly. Simple causes include irritation from hard foods, improper brushing, or accidental minor injuries inside the mouth. In such cases, the gum usually recovers within a few days and regains its healthy appearance.
However, some sores last longer or appear repeatedly. At this point, it’s important to pay attention to the signals your body is sending. Gum sores can sometimes indicate vitamin deficiencies, a weakened immune system, or other oral health issues.
What Causes Gum Sores?
There isn’t a single cause for gum sores. Daily habits, eating patterns, and oral care directly affect their occurrence. Brushing too hard or using a stiff bristled toothbrush can harm your gums without you realizing it. Applying too much pressure can create sensitivity over time, leading to small irritations. This is especially common in people who brush quickly and firmly.
Certain foods can also trigger gum sores. Hard nuts, chips, seeds, tough bread crusts, or sharp edged foods can scratch the gums. Often, you may not notice the small injury at the moment, but hours later it may cause discomfort while eating or brushing. Many minor sores actually stem from such simple irritations.

Another common reason is canker sores, known as aphthae. These usually appear as small sores with a white or yellow center and a slightly red border, occurring in various parts of the mouth including the gums. Stress, a weakened immune system, fatigue, or certain vitamin deficiencies can trigger them. People lacking vitamin B12, iron, or folic acid often develop mouth sores more frequently.
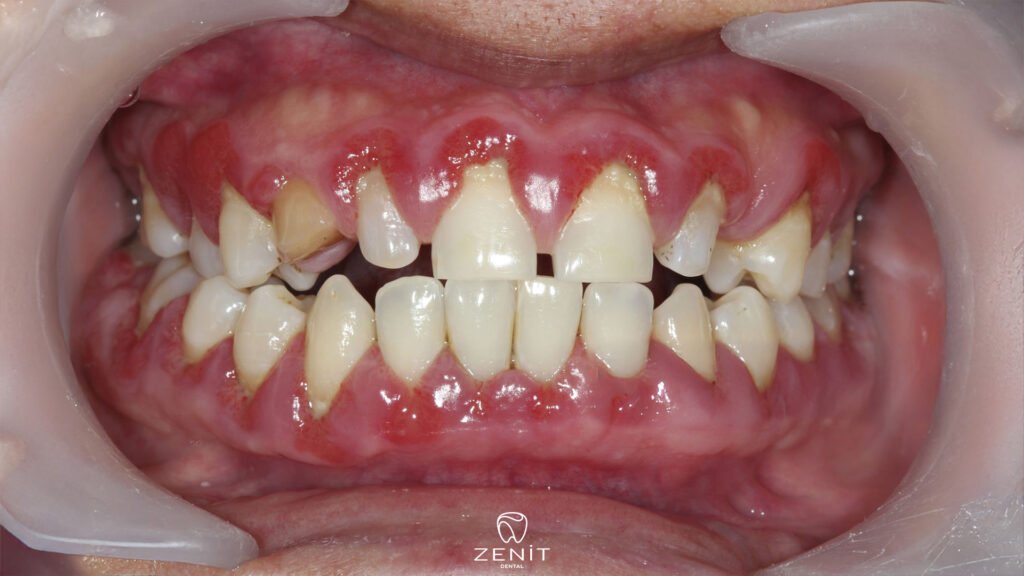
Sometimes, gum sores may indicate other oral health problems. Gum inflammation can cause redness, swelling, and tenderness. Orthodontic appliances like braces may also irritate the gums occasionally. Friction from wires or brackets, especially at the beginning, can lead to small sores.
Symptoms of Gum Sores
Gum sores may not appear the same for everyone. Some people feel only mild sensitivity, while others notice more obvious signs. Typically, you may see a small open sore, whitish spot, or red area on the gums. The area can be tender to touch, and eating may cause burning or discomfort.
Other common signs include slight swelling, redness, and tenderness. Sometimes, you may notice minor bleeding while brushing or eating hard foods. If the sore is larger or infected, pain can become more noticeable and interfere with daily activities.

How to Heal Gum Sores
Most gum sores heal within a few days on their own, but there are ways to speed up recovery and reduce discomfort. One simple method is rinsing with salt water. Adding a small amount of salt to warm water helps reduce bacteria and supports faster healing. Short rinses a few times a day can provide relief and promote recovery.
During this sensitive period, using hard toothbrushes or brushing aggressively may slow healing. It’s important to use a soft bristled brush and clean your teeth gently. Similarly, avoiding hot, spicy, or acidic foods can prevent irritation and support the healing process.

Comments are closed