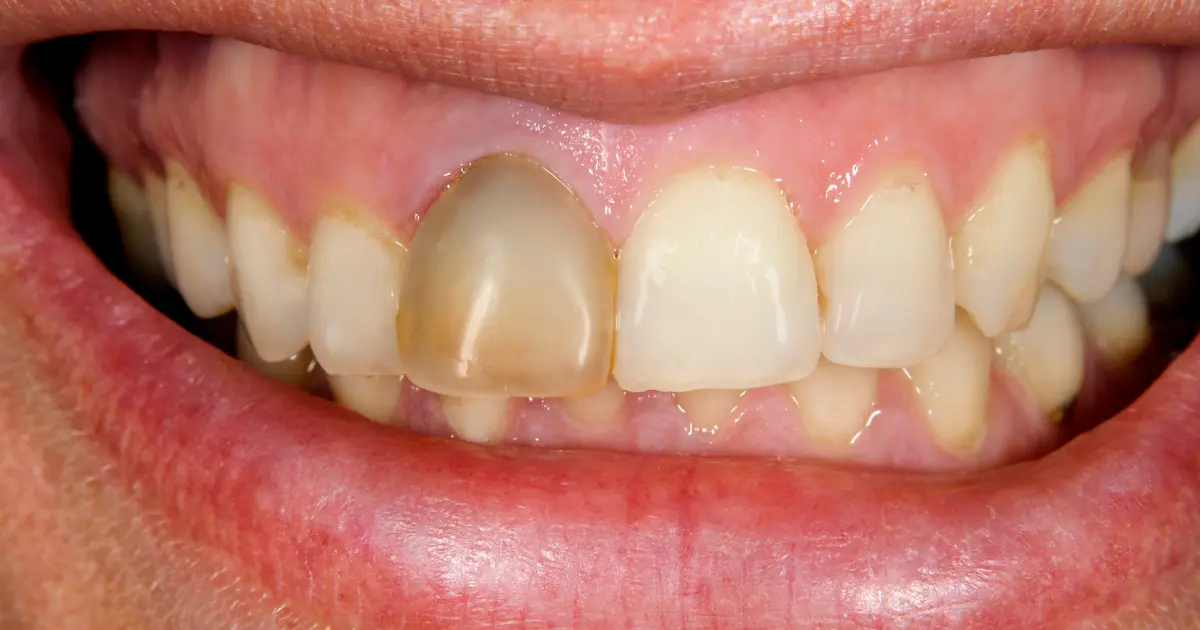
With the use of teeth bonding, cracked teeth may be repaired and shielded from future harm. A chipped, fractured, or otherwise damaged tooth can be fixed using tooth bonding, a cosmetic dentistry surgery. Additionally, it aids in closing gaps between teeth and extending any teeth that are shorter than the others. However, chipping a tooth is simpler than you would believe and doesn’t involve a t-ball mishap or a punch to the face. A tooth can break on a glass bottle, an ice cube, a water fountain, or even during giving birth. If you experience dental decay, bruxism, or experience excessive acid levels that erode your enamel, it is even simpler to chip a tooth.
What Is Teeth Bonding?

Dental bonding is a cosmetic procedure that makes use of composite resin that is tooth colored. Your dentist can carefully mold this resin to the appropriate size and shape to fill the area between your front incisors.
The operation may be completed by the dentist in a single appointment and is relatively straightforward. Your dentist will first select a dental bonding colour that is an exact match for the tint of your teeth. Your front teeth’s surface will then be ready for bonding material application. Also, your dentist will now administer a softening liquid to help with the bonding after softly abrading the surface of your teeth.
The procedure is most effective on healthy teeth that have had mild stress or damage. Before obtaining your bond, you should also normally be satisfied with the shade of your teeth. If you’ve always wanted to whiten your teeth before your bond, discuss the option with your dentist.
How Is Teeth Bonding Done?

If a filling is also necessary or the dentist wants to significantly alter the contour of your tooth, teeth bonding is an in-and-out technique that doesn’t even involve anesthetic. If the tooth chipped close to your nerve, you could additionally need anesthetic since the unpleasant repair operation might touch the nerve.
Choosing a composite resin hue that matches your tooth as closely as feasible is the first step. To ensure that their decision is sound, your dentist will consult a chart.
The composite and liquid have an easier time sticking to the rough surface. The composite resin is then applied to the damaged region, where your dentist molds it to fix the damage.
How Much Does Teeth Bonding Cost?

Depending on how many teeth you decide to have bonded, the cost will vary greatly. Dental bonding can cost anywhere between $300 and $600 per tooth. If you require dental bonding to treat tooth decay or a structural issue, your dental insurance may cover the cost, allowing you to avoid out-of-pocket expenses. Before the process, you should inquire further with your service provider.
Dental bonding is the least expensive approach to correct teeth when compared to veneers and crowns. On the other hand, a veneer or a crown might cost up to $3,000 for each tooth. However, depending on your location, your dentist’s skill level, and the length of the process, your dental bonding may cost more.
Teeth bonding is the application of tooth-colored composite resin to your teeth. A dentist will do this to improve the appearance of your teeth. Using bonding, a tooth can be covered. It can restore the health of a fractured tooth or root in addition to changing the form and look of a tooth. Teeth bonding is an inexpensive aesthetic surgery that may be completed in only one dental visit. Contact us at our clinic if you want to know more about dental bonding.

Comments are closed