Ön dişlerde oluşan deformasyonlarda diş yapıştırma tedavisi ile etkili ve başarılı sonuçlar alınabilmektedir.
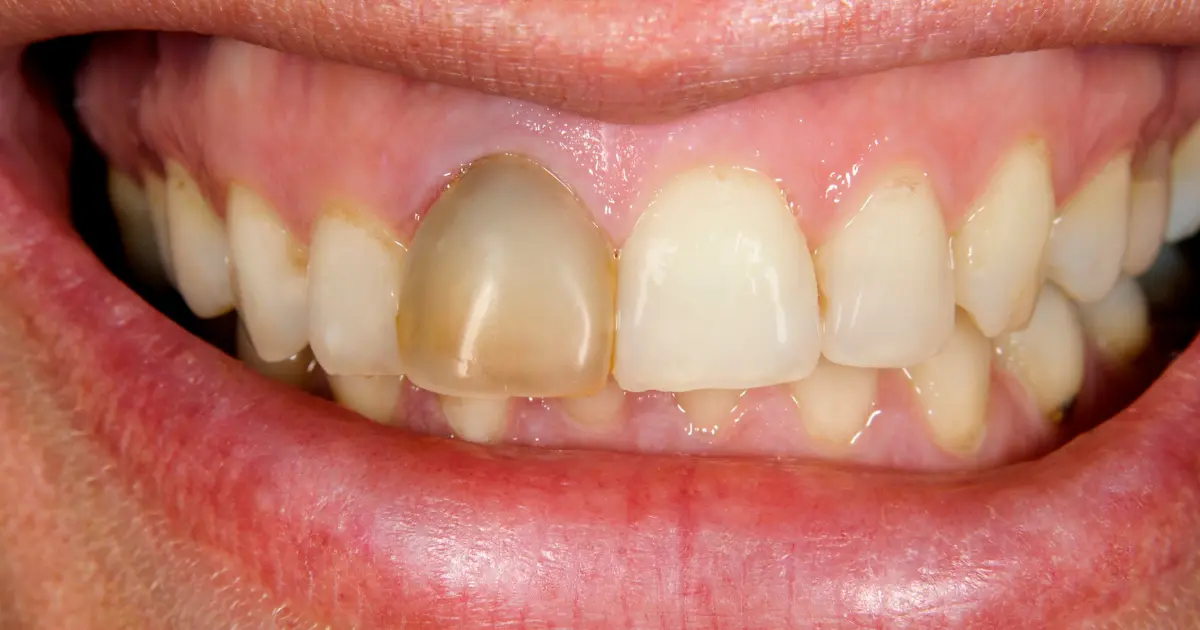
Çürük, çatlak veya kırılma gibi nedenlerle deformasyon olmuş dişler, estetik görünümü sekteye uğratmaktadır. Tedavi edilmediği takdirde ise diğer sağlam dişlerin konumunu ve sağlığını da olumsuz yönde etkilemektedir. Bunun yanında estetik açıdan da güzel görünmez ve kişiyi rahatsız eder. Dolayısıyla diş sorunlarının en kısa zamanda tedavi edilmesi gerekir. Bunun yanında sorun tek dişte olabileceği gibi birden fazla dişte de olabilmektedir.
Diş Yapıştırma Nedir?

Diş yapıştırma işlemi dişe benzer tasarlanan dayanıklı bir malzemenin deformasyon olmuş dişe lazer ya da mor ötesi ışık ile sabitlenmesi işlemidir. Reçine bazlı olan bu kaplama malzemesi yapıştırılarak dişlerin görünümü iyileştirilip düzeltilmektedir. İşlem aşamasında kullanılan mor ötesi veya lazer ile bu malzemenin sorunlu dişe oturtulması ve üzerinde sertleşmesi sağlanmaktadır.
Sunduğu etkili çözümler ile bu işlem implant, zirkonyum ve kron kaplama gibi farklı diş tedavilerinde sıklıkla kullanılmaktadır. Bunun yanında estetik diş hekimliği uygulamaları içerisinde yer alan lamine tedavisinde de diş yüzeyinde uygulanır. Nitekim pratik ve başarılı sonuçlar vermesi ile farklı diş sorunlarının çözümü için göz önünde bulundurulan bir diş tedavisidir. Tercih edildiği diş sorunları;
- Dişeti çekilmesinden kaynaklı açığa çıkmış diş köklerinin bir kısmını korumak amacıyla
- Amalgam dolguya bir alternatif olması için
- Diş formunun değiştirilmesi amacıyla
- Daha uzun görünmesi istenen dişlerde
- Dişler arasında oluşan boşlukların kapatılmasında
- Dişlerdeki renk farklılıklarında
- Çürük diş tedavisinde
Özellikle diş hekimliği alanında son yıllarda yaşanan teknolojik ve bilimsel gelişmelerle ile diş sorunlarının tedavisinde pratik çözümler geliştirilmiştir. Diş yapıştırma işlemi de bu uygulamalardan biridir ve sıklıkla kullanılmaktadır. Uzman bir diş hekimi tarafından uygulandığında ise uzun yıllar kullanılabilir olması kullanıcılarına sunduğu en önemli avantajlar arasındadır.
Diş Yapıştırma Nasıl Yapılır?

Fazla deformasyona uğramış dişler işlevsel ve estetik kayıplara neden olmaktadır. Bu kayıpların geri kazanılmasına yönelik yapılan diş yapıştırma işlemi oldukça pratik ve diğer tedavilere göre ekonomik olmasıyla sıklıkla kullanılan bir uygulamadır. Her tedavi de olduğu gibi bazı adımlarla uygulama yapılmaktadır. Öncelikle uygulama yapılacak dişin yüzeyi hekim tarafından pürüzlendirme işlemine tabi tutulmaktadır. Böylelikle kaplama malzemesinin dişe daha iyi yapışması sağlanır.
Pürüzleme işleminden sonra diş yüzeyine hazırlanan özel solüsyon uygulanmaktadır. Ardından ise dişe yapıştırılacak materyal uygulanıp şekillendirilmektedir. Bu malzeme seçilirken hastanın diğer dişlerine uygun olması için bir renk kılavuzu kullanılmaktadır. Şekillendirme işleminden sonra lazer veya ultraviyole ışık ile diş üzerindeki malzemenin sertleşmesi sağlanmaktadır. Yapılan sertleştirme işleminden sonra ise hekim tarafından rötuş işlemi yapılarak dişe tam uyuşması sağlanır.
Işık geçirgenliği olan bir malzeme ile yapılan diş yapıştırma işlemi doğal dişe çok benzer sonuçlar vermektedir. Dolayısıyla gülüş estetiği dahil birçok diş tedavisinde sıklıkla tercih edilmektedir. İşlem diş başına 10- 60 dakika arasında sürmektedir. Tabi ki bu süre hekimin pratikliğine ve dişin durumuna göre değişebilmektedir. Kullanım süresi ise malzemenin kalitesi, hekimin uzmanlığı ve hastanın kullanımına göre 3 ila 10 yıl kadar sürmektedir.
Bu işlemin yapıldığı hastalar şayet uygulama sonrası dişlerinde sivri kısım, pürüz veya rahatsız edici bir farklılık hissediyorsa en kısa zamanda uzmana yeniden bir muayene ettirilmelidir. Böylelikle rötuş işlemi yapılarak bu dişin yanak veya diş etini deformasyon etmesi önlenmiş olur. Ayrıca temizliğini rutin diş temizliği gibi yapılması yeterlidir. Bunun yanında sert malzemeler çiğnemekten mümkün olduğunca kaçınılmalıdır.
Diş Yapıştırma Ücreti Ne Kadar?

Bir diş tedavisi ücreti yapılan tedavinin türü ve kullanılan malzemeye göre farklılıklar gösterir. Fiyat belirleyici etmenler arasında ayrıca, uzmanın bilinirliği, lokasyon, kaç dişe uygulanacağı gibi faktörler yer almaktadır. Öncelikle uzman doktorun yapacağı detaylı muayeneden sonra bu tekniğin hangi tedavi içerinde kullanılacağı kararlaştırılmaktadır. Çünkü işlem fiyatı tam seramik kuron, adeziv köprü, düşmüş kuron ve köprü stimülasyonu ve kuron köprü tamirine göre değişmektedir.
Birçok diş tedavisi içerisinde yer verilen diş yapıştırma işlemi özellikle çok düşük ısırma basıncı olan alanlar, küçük kozmetik değişiklikler ve kozmetik kusurların giderilmesi için pratik bir yöntemdir. Bir diş sorununun çözümü için uygun bir yöntem olup olmadığını ise ancak bir uzman tarafından karar verilmelidir. Böylelikle en iyi kozmetik yaklaşım olabilmektedir.

Comments are closed