Kırık diş gülümsemeyi zorlaştırdığı ve özgüveninizi kırdığı için bir tür travmadır. Diş kırıklarının en yaygın nedenlerinden bazıları, şeker veya buz küpleri gibi sert yiyecekler yemek, düşmek, dişin hasar görmesi veya diş çürümesidir. İyi haber şu ki, yeni teknolojilerin kullanımı sayesinde modern diş hekimliği çoğu diş problemine cevap vermektedir.
Dünyanın her yerinde insanların acil diş bakımı alabileceği yerler vardır. Bir hastanın dişi kırılmış veya çürümüşse tek yapması gereken bir diş hekimiyle konuşmaktır. Diş hekimi, sorununuzu tedavi etmenin en iyi yolu hakkında size tavsiyelerde bulunacaktır.
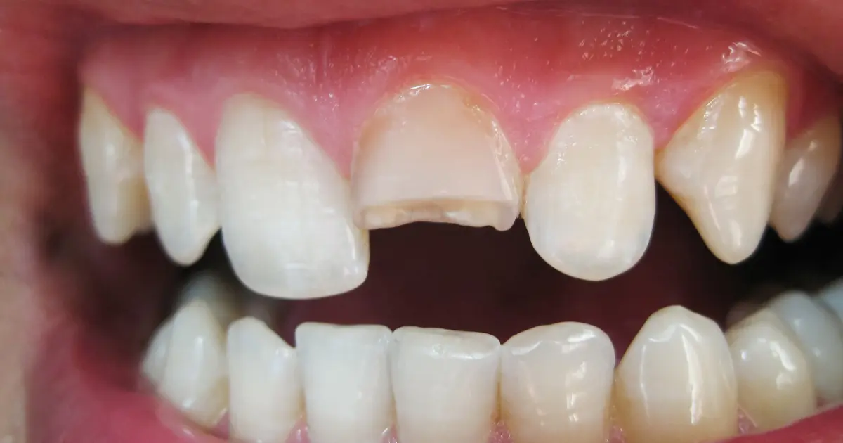
Dişlerinizi kaplayan ve koruyan mine, vücudunuzdaki en sert, en mineralize dokudur. Ancak yine de kırılmaktadır. Bunun sebebi düşmek, yüze darbe almak veya sert bir şeyi ısırmaktır. Bu durumlar dişin hasar görmesine sebep olmaktadır. Eğer dişiniz kırılmış veya çürümüşse endişelenmeyin. Diş hekiminin bu durumu düzeltmesi için birden çok yöntemi vardır.
Diş Kırıklarının Sebepleri Nelerdir?

Dişlerimiz maruz kaldıkları çok sayıdaki baskı ve zorlanma nedeniyle kırılmaktadır. Bu durumun sebebi aşağıdaki gibidir.
- Sert bir şey tüketmek
- Bir kazadan sonra oluşan hasar
- Spordan kaynaklanan hasar
- Tedavi edilmeyen çürükler
- Kalan doğal diş yapısının zamanla kırılgan hale gelebileceği eski, sağlam amalgam dolgular.
Kırık diş her zaman anlık rahatsızlığa neden olmayabilir. Kırık sinire ulaşmışsa çiğneme sırasında rahatsızlık, sıcağa ve soğuğa karşı hassasiyet göstermektedir. Ağrınız olsun ya da olmasın, diş hekiminiz dişin durumunu ve yaşayabilirliğini belirlemektedir. Buna göre de bir tedavi yöntemi seçmektedir.
Kırık Diş Gülüş Estetiğimi Nasıl Etkiler?

Birçoğu, ağrıya veya işlevsel sorunlara neden olmazsa, çürümüş bir dişin önemsiz olduğunu varsayar. Bununla birlikte, çürük dişinizdeki çatlaklar nedeniyle, tehlikeli mikroplar kolayca orada pusuya yatabilir. Bu da enfeksiyona veya diş kaybına neden olmaktadır. Buna ek olarak çürümüş bir diş, dişin yapısını zayıflatır ve aşırı ısırma basıncı altında kırılmaya eğilimli hale getirir.
Estetik diş hekimleri, taleplerinize bağlı olarak kırık dişleri diş kaplama veya porselen kaplamalar kullanarak onarmaktadırlar.
Dişler gittiğinde çenede kemik kaybı yaşanmaya başlar. Açıkçası, bir veya iki dişi kaybetmek, dişlerin çoğunu veya tamamını kaybetmekten daha yavaş bir körelme oranıyla sonuçlanacaktır. Ancak çene kemiğiniz ne kadar körelirse o kadar çok diş kaybetmeye başlarsınız. Çünkü zayıflayan çene kemiği kalan dişleri tutamaz. Çene kemiğiniz giderek daha kırılgan hale gelir. Bu da potansiyel olarak çene çatlamasına neden olmaktadır.
Kırık Diş Eski Şekline ve Rengine Getirilebilir Mi?

Hasarlı veya kırık dişler, gülüşünüzün görünümünün azalmasına ek olarak sıklıkla ciddi rahatsızlıklara neden olmaktadır. Bu tür bozukluklar tedavi edilmediği takdirde diş özünde enfeksiyonlara dönüşebilir. Bu da diş kaybına neden olmaktadır. Bu nedenle, kırık veya hasar görmüş bir dişi mümkün olan en kısa sürede iyileştirmek önemlidir.
Diş kronu, tedavi edilmiş bir dişi tamamen kaplayan bir restorasyondur. Dişin üzerine oturacak ve doğal boyutunu, şeklini ve rengini geri kazandıracak şekilde özel olarak üretilmiştir. En yaygın olarak, diş kronları hasarlı dişleri onarmak ve parçalanmış veya aşınmış dişleri değiştirmek için kullanılır. Ayrıca, büyük bir kök kanalının çıkarılmasını takiben bir dişi onarmak için de kullanılabilirler.
Kırık Diş Görünümünü Düzeltmek İçin Seçenekler Nelerdir?

Diş minesini kaybettiyseniz, diş hekiminiz hasarı onarmak için bir dolgu kullanacaktır. Onarım, bir ön dişe veya gülümsediğinizde görünen bir dişe yapılacaksa, diş hekiminiz muhtemelen diş renginde kompozit reçine kullanan bir işlem olan yapıştırma yöntemini kullanacaktır.
Bonding, normalde anestezi gerektirmeyen basit bir işlemdir. Bir dişi bağlamak için diş hekimi, yüzeyi pürüzlendirmek ve bağlayıcı maddeye daha duyarlı hale getirmek için bir sıvı veya jel ile aşındırır. Diş hekimi daha sonra dişe bir yapışkan madde uygulamaktadır. Ardından diş renginde bir reçine uygulamaktadır. Diş hekimi, bağlayıcı malzemeyi gerçek bir dişe benzeyecek şekilde şekillendirdikten sonra ultraviyole radyasyonla sertleştirmektedir.
Kırık Diş Düzeltildikten Sonra Gülüşüm Doğal Görünür Mü?

İmplantlar, kaybedilen dişleri onarmak için sıklıkla kullanılmaktadır. Bir kron için destek ve güç sağladığı çene kemiğine bir post yerleştirmek birçok adım gerektirir. Uygun bakımla bir diş implantı doğal bir diş gibi davranır ve uzun bir ömre sahiptir. Diş kaplama uzmanları, hastalara daha doğal görünen bir gülümseme sağlamaktadır.
İmplantlar, kompozit veya porselenden oluşmaktadırlar. Ek çürüme veya renk değişikliğini önlemek için hasarlı veya rengi solmuş bir dişin üzerine konurlar. Kaplama işlemini sağlayan diş hekimleri, doğal görünümlü dişlere ihtiyaç duyan hastalara yardımcı olmayı amaçlamaktadır. Böylece kırık diş sorunundan kurtulursunuz.

Comments are closed