Dolgu Yapılan Diş Çürür Mü
Dişine dolgu yapılmış olan birçok kişi zamanla aynı soruyu tekrar tekrar düşünür: “Acaba bu diş yine çürür mü?” Hatta bazen ağzında en ufak bir hassasiyet hissettiğinde bile insanın aklına hemen kötü senaryolar gelir. “Dolgu düştü mü?”, “İçten içe çürüyor olabilir mi?” gibi sorular zihni kurcalar durur. Özellikle daha önce çürük yaşamış ve tedavi görmüş kişilerde bu endişe çok daha sık karşımıza çıkar.
Öncelikle şunu net bir şekilde söyleyelim: Evet, dolgu yapılmış bir diş de zamanla yeniden çürüyebilir. Ama bu durum, “dolgu işe yaramıyor” ya da “tedavi başarısız oldu” anlamına gelmez. Tam tersine dolgu, çürümüş bir dişi kurtarmanın ve dişi ağızda tutmanın en etkili yollarından biridir. Buradaki asıl konu, dolgunun varlığı değil; dişin ve dolgunun zaman içinde nasıl korunduğu, ağız hijyeninin ne kadar iyi sağlandığı ve düzenli kontrollerin yapılıp yapılmadığıdır.
Birçok kişi dolgu yapıldıktan sonra o dişi “artık sorun çıkarmayacak” diye düşünür. Bu çok anlaşılır bir beklenti ama ne yazık ki dişler bu şekilde çalışmaz. Dolgu, dişi tamamen “bağışıklık kazanmış” hale getirmez. Sadece o bölgedeki çürük dokuyu temizleyip yerine dayanıklı bir materyal koyarak dişi yeniden işlevsel hale getirir. Yani diş hâlâ canlıdır, hâlâ bakıma ve korunmaya ihtiyaç duyar.
Dolgu yapılmış bir dişin de, tıpkı diğer dişler gibi düzenli fırçalanması, diş ipiyle temizlenmesi ve belirli aralıklarla kontrol edilmesi gerekir. Aksi halde dolgunun kenarlarında zamanla mikroskobik boşluklar oluşabilir ve bu alanlar bakteri birikimi için uygun bir ortam haline gelebilir. Çoğu zaman “yeniden çürük oluştu” denilen durum da aslında bu küçük alanlardan başlar.

Dolgu Nedir, Ne İşe Yarar?
Dolgu aslında çoğu kişinin düşündüğünden çok daha basit ama bir o kadar da önemli bir tedavidir. En basit haliyle anlatmak gerekirse; dişin çürüyen kısmı temizlenir ve o boşalan alan, özel bir dolgu materyaliyle yeniden doldurulur. Yani dişin içinde oluşan o “hasarlı bölge” alınır ve yerine dişi tekrar kullanmamızı sağlayacak sağlam bir yapı yerleştirilir.
Bunu bazen küçük bir tamir gibi düşünebilirsiniz. Nasıl ki bir duvarda çatlak oluştuğunda o bölge onarılıyorsa, dişte de benzer bir süreç vardır. Çürük temizlenir ve diş tekrar çiğneme görevine döner. Kişi de günlük hayatına ağrısız ve rahat bir şekilde devam eder.
Ama burada çoğu zaman yanlış anlaşılan çok önemli bir detay var.
Dolgu, dişi “artık asla çürümeyecek” hale getirmez.
Sadece o anki çürük dokuyu ortadan kaldırır ve dişi yeniden kullanılabilir hale getirir.
Yani dolgu yapılmış bir diş, tamamen korunmuş ve dokunulmaz bir diş değildir. Hâlâ normal bir diş gibi bakıma ihtiyaç duyar. Hatta bazen insanlar dolgu yapıldıktan sonra “artık sorun yok” rahatlığıyla temizliklerini biraz aksatabiliyor. Asıl risk de genellikle burada başlar.
Eğer ağız hijyenine dikkat edilmezse, dolgunun kenarlarında ya da dişin farklı bölgelerinde yeniden bakteri birikimi olabilir. Bu da zamanla yeni bir çürüğün başlangıcına zemin hazırlar. Yani dolgu, dişi kurtarır ama onu koruma görevi tamamen bize kalır.
Dolgulu Diş Neden Tekrar Çürür?
Dolgulu bir dişin yeniden çürümesi aslında oldukça yaygın bir durumdur ve çoğu kişi bunu duyunca şaşırır. “Madem dolgu yapıldı, nasıl tekrar çürür?” diye düşünmek çok normaldir. Ancak burada önemli olan nokta şu: dolgu dişi tamamen koruyan bir kalkan değildir. Diş hâlâ ağız içinde yaşayan bir yapı olduğu için, çevresel koşullardan ve bakım alışkanlıklarımızdan etkilenmeye devam eder. Bu yüzden zaman içinde dolgunun olduğu bölgede yeniden çürük oluşabilir.
En sık karşılaşılan sebeplerden biri ağız hijyeninin yeterince iyi olmamasıdır. Dişler düzenli ve doğru şekilde temizlenmediğinde, dolgunun özellikle kenar bölgelerinde bakteri birikimi başlar. Bu bakteriler zamanla asit üretir ve fark edilmeden diş dokusunu yavaş yavaş zayıflatır. Çoğu zaman kişi bunu erken dönemde hissetmez bile, çünkü süreç sessiz ilerler.
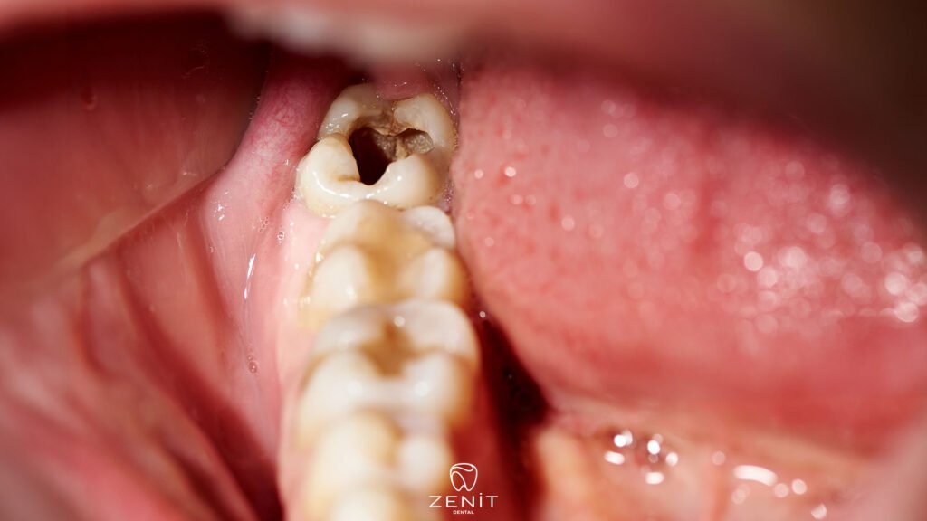
Bir diğer önemli neden ise dolgu ile diş arasında zamanla oluşabilen çok küçük boşluklardır. Bu boşluklar gözle görülmeyecek kadar minik olabilir ama bakteriler için oldukça uygun bir alan oluşturur. Yemek artıkları ve mikroorganizmalar bu aralıklara yerleştiğinde çürük genellikle dolgunun altından veya kenarından başlar. Bu yüzden bazen “dolgunun altında çürük varmış” denilen durum aslında tam olarak buradan kaynaklanır.

Bunun yanında dolgunun yıllar içinde yıpranması da önemli bir etkendir. Hiçbir dolgu malzemesi ömür boyu ilk günkü sağlamlığını koruyamaz. Zamanla aşınabilir, ufak çatlaklar oluşabilir ya da dişle uyumu azalabilir. Buna ek olarak sık şeker tüketimi, asitli gıdalar ve diş sıkma gibi alışkanlıklar da hem dişin hem de dolgunun yapısını zayıflatabilir. Tüm bu faktörler bir araya geldiğinde, dolgu yapılmış bir dişin neden yeniden çürüyebildiğini daha net anlamak mümkün olur.
Dolgulu Diş Çürürse Ne Olur?
Dolgulu bir dişin yeniden çürümeye başlaması çoğu zaman sessiz ilerler. Yani ilk başta hiçbir şey hissetmeyebilirsiniz, hatta yıllarca hiçbir sorun yok gibi de görünebilir. Bu yüzden birçok kişi ancak iş ilerlediğinde durumun farkına varır. Ama çürük derinleştikçe vücut aslında küçük küçük sinyaller vermeye başlar.
En sık görülen belirtilerden biri sıcak ya da soğuğa karşı hassasiyettir. Bir yudum soğuk su içtiğinizde ya da sıcak bir şey yediğinizde dişte ani bir sızı hissedebilirsiniz. Bunun yanında özellikle tatlı gıdalar tüketildiğinde oluşan kısa ama rahatsız edici ağrılar da dikkat çeker. Bazen dolgunun çevresinde renk koyulaşması fark edilebilir veya çiğneme sırasında o dişte bir rahatsızlık hissi oluşabilir. Bunlara zaman zaman kötü ağız kokusu da eşlik edebilir.
Eğer bu süreç fark edilmez ve ilerlemeye devam ederse, dolgunun altındaki diş dokusu giderek zayıflar. Bu noktada dolgu artık yeterince tutunamayabilir ve düşme riski oluşur. Daha ileri seviyelerde ise çürük sinire kadar ulaşabilir ve bu durumda dolgu yerine kanal tedavisi gibi daha kapsamlı bir müdahale gerekebilir.
Dolgulu Dişleri Korumak İçin Ne Yapmalı?
Aslında dolgulu dişleri korumak düşündüğünüz kadar zor değil; biraz dikkat ve düzenli alışkanlıklarla uzun yıllar sağlıklı kalmaları mümkün. En temel nokta, günlük ağız bakımını asla aksatmamak. Dişleri günde en az iki kez fırçalamak, özellikle de gece yatmadan önce bu temizliği yapmak çok önemli. Çünkü gece boyunca ağız içinde tükürük akışı azaldığı için bakteriler daha kolay çoğalır ve bu da dolgu kenarlarında sorun oluşturabilir.
Bunun yanında diş ipi kullanımı da çoğu kişinin atladığı ama aslında çok etkili bir adımdır. Fırçanın ulaşamadığı aralarda kalan yiyecek artıkları ve plaklar, zamanla dolgunun çevresinde birikerek çürük oluşumuna zemin hazırlayabilir. Ağız gargarası da ek bir destek olarak bakteri yükünü azaltmaya yardımcı olur ve ağızda daha temiz bir his bırakır.
Bunlara ek olarak düzenli diş hekimi kontrollerini ihmal etmemek gerekir. Altı ayda bir yapılan basit bir kontrol, fark edilmeyen küçük sorunların büyümeden yakalanmasını sağlar. Tabii bir de beslenme alışkanlıkları önemli; sürekli şekerli gıdalar tüketmek yerine bunları belirli zamanlara yaymak diş sağlığı açısından çok daha dengeli bir yaklaşım olur.

Her Dolgu Aynı Değildir
Aslında çoğu kişinin pek fark etmediği ama oldukça önemli bir konu var: her dolgu aynı değildir. Kullanılan dolgu malzemesi, dişle ne kadar uyumlu olduğu ve en önemlisi uygulamanın ne kadar doğru yapıldığı, dolgunun ömrünü doğrudan etkiler. Bazı dolgular yıllarca hiçbir sorun çıkarmadan ağızda kalabilirken, bazıları daha kısa sürede kenarlardan sorun vermeye başlayabilir.
Ama burada şunu da unutmamak gerekir: en kaliteli dolgu bile tek başına yeterli değildir. Eğer ağız bakımı düzenli yapılmazsa ya da diş kontrolleri ihmal edilirse, en iyi dolgu bile zamanla sorun çıkarabilir. Yani aslında uzun ömrü belirleyen en büyük faktör her zaman günlük alışkanlıklarımızdır.
“Benim Dolgum Eski, Ne Yapmalıyım?”
Eğer uzun zamandır dolgu yaptırdıysanız ve zaman zaman o dişte hassasiyet, sızı ya da farklı bir his fark ediyorsanız bunu ertelememek gerekir. Çünkü bu her zaman büyük bir sorun olduğu anlamına gelmez. Bazen sadece dolgunun kontrol edilmesi yeterlidir, bazen küçük bir düzeltme yapılır, bazen de tamamen normal olduğu söylenir ve içiniz rahat eder.
Ama önemli olan, bunu kendi kendine geçmesini beklememek. Çünkü küçük bir problem erken fark edildiğinde çok kolay çözülebilirken, ihmal edildiğinde daha büyük işlemlere dönüşebilir.
Eğer siz de dolgularınızla ilgili bir şüphe ya da hassasiyet yaşıyorsanız, bunu ertelemeyin. Kliniğimize başvurabilir, randevu formunu doldurarak kolayca muayene için zaman oluşturabilirsiniz. Erken kontrol, hem dişinizi hem de sağlığınızı korumanın en basit yoludur.

Comments are closed