Does a Filled Tooth Decay?
Many people who have had a dental filling often keep asking the same question over and over again: “Will this tooth decay again?” Even the slightest sensitivity in the mouth can immediately trigger worries. Thoughts like “Did the filling fall out?” or “Is it decaying from the inside?” start to run through the mind. This concern is especially common in people who have previously experienced cavities and dental treatment.
First of all, let’s make this clear: yes, a filled tooth can decay again over time. But this does not mean that “the filling doesn’t work” or “the treatment has failed.” On the contrary, a filling is one of the most effective ways to save a decayed tooth and keep it in the mouth. The real issue here is not the filling itself, but how the tooth and filling are maintained over time, how well oral hygiene is maintained, and whether regular check ups are done.
Many people think that once a filling is done, that tooth will no longer have any problems. This is understandable, but unfortunately teeth don’t work that way. A filling does not make a tooth “immune.” It simply removes the decayed tissue and restores the tooth with a durable material so it can function again. In other words, the tooth is still alive and still needs care and protection.
A filled tooth should be brushed regularly, cleaned with dental floss, and checked at certain intervals just like any other tooth. Otherwise, microscopic gaps can form around the filling over time, creating a suitable environment for bacteria to accumulate. In many cases, what is referred to as “new decay” actually starts from these small areas.

What is a Filling and What Does It Do?
A dental filling is actually a much simpler but very important treatment than most people think. In its simplest form, the decayed part of the tooth is cleaned, and the empty space is filled with a special filling material. In other words, the damaged area inside the tooth is removed and replaced with a structure that allows the tooth to function again.
You can think of it like a small repair. Just like fixing a crack in a wall, a similar process happens in a tooth. The decay is removed, and the tooth returns to its chewing function. The person can then continue daily life without pain or discomfort.
But there is a very important detail that is often misunderstood here.
A filling does not make a tooth “never decay again.”
It only removes the current decay and restores the tooth so it can be used again.
So a filled tooth is not a completely protected or untouchable tooth. It still needs care like a normal tooth. In fact, some people relax after getting a filling and become less careful with their oral hygiene. This is usually where the real risk begins.
If oral hygiene is neglected, bacteria can start to accumulate again around the filling or other parts of the tooth. Over time, this can lead to a new cavity. In other words, a filling saves the tooth, but keeping it healthy is entirely up to us.
Why Do Filled Teeth Decay Again?
The recurrence of decay in a filled tooth is actually quite common, and many people are surprised when they hear it. “If the tooth was filled, how can it decay again?” is a very natural question. However, the important point is this: a filling is not a protective shield that completely isolates the tooth. The tooth remains a living structure in the mouth, so it continues to be affected by environmental conditions and daily habits. For this reason, decay can develop again in the filled area over time.
One of the most common causes is poor oral hygiene. When teeth are not cleaned properly and regularly, bacteria start to accumulate especially around the edges of the filling. These bacteria produce acid over time and slowly weaken the tooth structure without being noticed. Most of the time, the person does not feel it early because the process is silent.
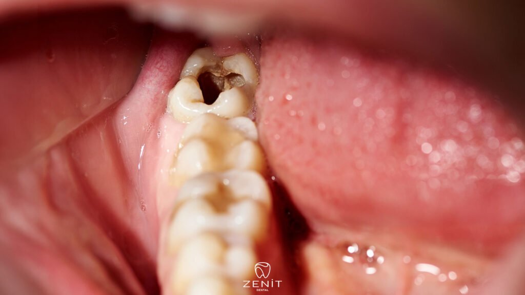
Another important reason is the tiny gaps that can form between the filling and the tooth over time. These gaps may be too small to see, but they create a perfect space for bacteria. When food particles and microorganisms settle in these areas, decay usually begins under or around the filling. This is why people sometimes hear that “there is decay under the filling,” which is exactly how it happens.

In addition, the natural wear of fillings over the years is another important factor. No filling material lasts forever in its original condition. It can wear down, develop small cracks, or lose its perfect seal with the tooth. On top of that, habits like frequent sugar consumption, acidic foods, and teeth grinding can also weaken both the tooth and the filling. When all these factors come together, it becomes much easier to understand why a filled tooth can decay again.
What Happens If a Filled Tooth Decays?
Decay in a filled tooth often progresses silently. In the beginning, you may not feel anything at all, and it might even seem fine for years. That’s why many people only realize the problem once it has progressed. But as the decay deepens, the body starts to give small warning signs.
One of the most common symptoms is sensitivity to hot or cold. You may feel a sudden sharp pain when drinking cold water or eating something hot. In addition, short but uncomfortable pain when consuming sweets is also common. Sometimes discoloration around the filling may be noticed, or discomfort while chewing on that tooth. Bad breath can also accompany these signs from time to time.
If this process is not noticed and continues, the tooth structure under the filling becomes weaker. At this point, the filling may no longer hold properly and can fall out. In more advanced cases, the decay can reach the nerve of the tooth, and a more extensive treatment such as root canal therapy may become necessary instead of a simple filling.
How to Protect Filled Teeth?
Protecting filled teeth is actually not as difficult as you might think; with a bit of attention and consistent habits, they can remain healthy for many years. The most basic point is not to neglect daily oral care. Brushing your teeth at least twice a day, especially before going to bed, is very important. Because at night, saliva flow decreases, allowing bacteria to multiply more easily, which can cause problems around the filling.
In addition, dental floss is something many people skip, but it is actually very effective. Food particles and plaque that remain in areas the toothbrush cannot reach can accumulate around the filling and lead to decay. Mouthwash is also a helpful addition that reduces bacterial load and provides a cleaner feeling in the mouth.
Regular dental check ups should also not be neglected. A simple check every six months allows small problems to be detected before they grow. Of course, dietary habits also matter; instead of consuming sugary foods constantly, it is much better to consume them at specific times in a balanced way.

Not All Fillings Are the Same
One important detail that many people overlook is that not all fillings are the same. The material used, how well it fits the tooth, and most importantly the quality of the application directly affect the lifespan of the filling. Some fillings can last for many years without any issues, while others may start to fail earlier around the edges.
However, it is also important to remember that even the highest quality filling is not enough on its own. If oral hygiene is not maintained or dental check ups are neglected, even the best filling can eventually cause problems. In the end, daily habits are always the most important factor.
“My Filling is Old, What Should I Do?”
If you have had a filling for a long time and occasionally feel sensitivity, pain, or an unusual sensation in that tooth, it should not be ignored. This does not always mean there is a serious problem. Sometimes the filling just needs a check up, sometimes a small adjustment is enough, and sometimes everything is perfectly fine and you can simply feel reassured.
However, the important thing is not to wait for it to go away on its own. Because a small problem detected early can be solved easily, while neglecting it can lead to more complex treatments.
If you are experiencing any concerns or sensitivity with your fillings, do not delay it. You can contact our clinic and easily schedule an appointment by filling out the appointment form. Early check ups are the simplest way to protect both your teeth and your health.

Comments are closed